透射电镜技术服务
发布时间:2024-06-30 17:15:53 来源:上海贝丝检测 浏览:1485次
上海贝丝检测,提供斑马鱼科研实验/功效实验/毒理学实验,电镜服务/外泌体检测鉴定服务,蛋白/代谢组学服务、分子细胞毒理学/细胞功能检测、基因检测等项目,专业团队,高效准确,国际认可。咨询热线:18221805197 (微信同号)
透射电子显微镜,是把经加速和聚集的电子来投射到非第酒的样品上,电子与样品中的原子碰撞而政变方向,从而产生立体角散射影像。
通常,透射电子显微镜的分辨率为0.1~0.2nm,放大倍数为几万~百万倍,用于观察超微结构,即小于0.2微米、光学显微镜下无法看清的结构,又称“亚显微结构”。
材料透射电镜主要检测对象为金属、矿物、半导体、超导体、无机化合物等固体纳米材料。
检测内容包括
样品的形貌,晶体结构及元素组成,含质厚衬度像、明场衍射衬像、暗场衍射衬像、晶体条纹像、电子衍射图像、能潜等主要应用领域:物理学、化学、生物学、材料科学、矿物学、地质、选矿、冶金工程等领域生物电镜。
1,样品包埋:送检后标本需经过四氧化锇后固定、脱水、树脂半浸透、树腊全浸运及树脂包埋后高温聚合。
2,超薄切:聚合后的组织树脂包埋块须在莱卡EM UC7超薄切片机下定位后,切下50-70nm薄片,随后用铜网捞片。
3,铅铀染色:制作好的样品铜片经醋酸铀染色10min,后硝酸铅再染色10min,即可阅片
4,拍照分析:按照客户拍照目的及拍照要求进行分析。
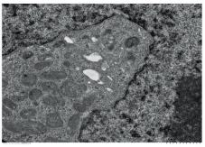
透射电子显微镜技术结果展示



透射电镜服务流程
透射电镜/扫描电镜技术服务TEM/SEM详细介绍
客户提供:固定好的组织/细胞样本
公司提供:超薄切片制作及实验过程中用到的全部试剂
时间周期:3-4周
实验完结提交:扫描图片,完整详尽实验报告
下一篇:透射电镜负染色技术服务
上一篇:没有了
相关文章
